-
요즘 건강검진에서 ‘지방간 의심’ 소견을 받는 분들이 많습니다. 그런데 대다수는 “아직 간경화는 아니잖아?” 하며 그냥 넘기시곤 하죠.
하지만 지방간은 방치하면 지방간염 → 섬유화 → 간경화로 진행될 수 있습니다. 이번 글에서는 **비알코올성 지방간염(NASH)**을 중심으로, 지방간이 간경화로 이어지는 과정과 그 사이 나타나는 증상, 예방 방법까지 전부 정리해드립니다.
목차
- 지방간이란? 단순 지방간 vs 지방간염 차이
- 지방간이 간경화로 이어지는 이유
- 지방간 진행 단계: 4단계로 정리
- 위험신호와 간수치 변화
- 예방법과 간에 좋은 생활습관


지방간이란? 단순 지방간 vs 지방간염 차이
지방간은 간세포에 지방이 5% 이상 축적된 상태입니다.
크게 두 가지로 나뉘는데요:- 단순 지방간: 염증 없음, 상대적으로 안정적
- 비알코올성 지방간염(NASH): 지방 축적 + 염증 + 세포 손상 동반
단순 지방간은 생활습관 개선으로 회복이 가능합니다.
하지만 지방간염으로 발전하면, 시간이 지나면서 간세포가 손상되고 섬유화가 시작됩니다. 이때부터 간경화의 길로 접어들게 됩니다.지방간이 간경화로 이어지는 이유
지방간이 위험한 이유는 지속적인 염증과 산화 스트레스 때문입니다.
지방이 축적된 간은 점점 더 산화 손상을 입고, 면역반응이 과도하게 활성화되면서 간세포가 파괴됩니다. 그 결과 간 조직이 섬유화되며, 결국 간이 굳어지는 간경화 상태에 이르는 것이죠.즉, 지방간이 꼭 간경화로 이어지는 건 아니지만, 특히 비만·당뇨·고지혈증이 있는 경우엔 고위험군에 속합니다.



지방간 진행 단계: 4단계로 정리
단계 명칭 특징 1단계 단순 지방간 무증상, 간에 지방만 축적됨 2단계 지방간염 (NASH) 염증 발생, 간세포 손상 시작 3단계 섬유화 손상된 간세포가 섬유질로 대체됨 4단계 간경화 간이 딱딱해지고 기능 저하 2단계부터는 되돌리기 어려운 손상이 누적되기 때문에, 조기 발견이 매우 중요합니다.
위험신호와 간수치 변화
간은 ‘침묵의 장기’라고 불릴 만큼 초기에는 아무 증상이 없습니다.
하지만 지방간염 또는 섬유화가 진행될수록 다음과 같은 변화가 나타날 수 있습니다:- ALT(AST) 수치 상승 (정상: 40 이하)
- 피로감, 식욕 저하, 소화불량
- 복부 통증 또는 오른쪽 갈비뼈 아래 불편감
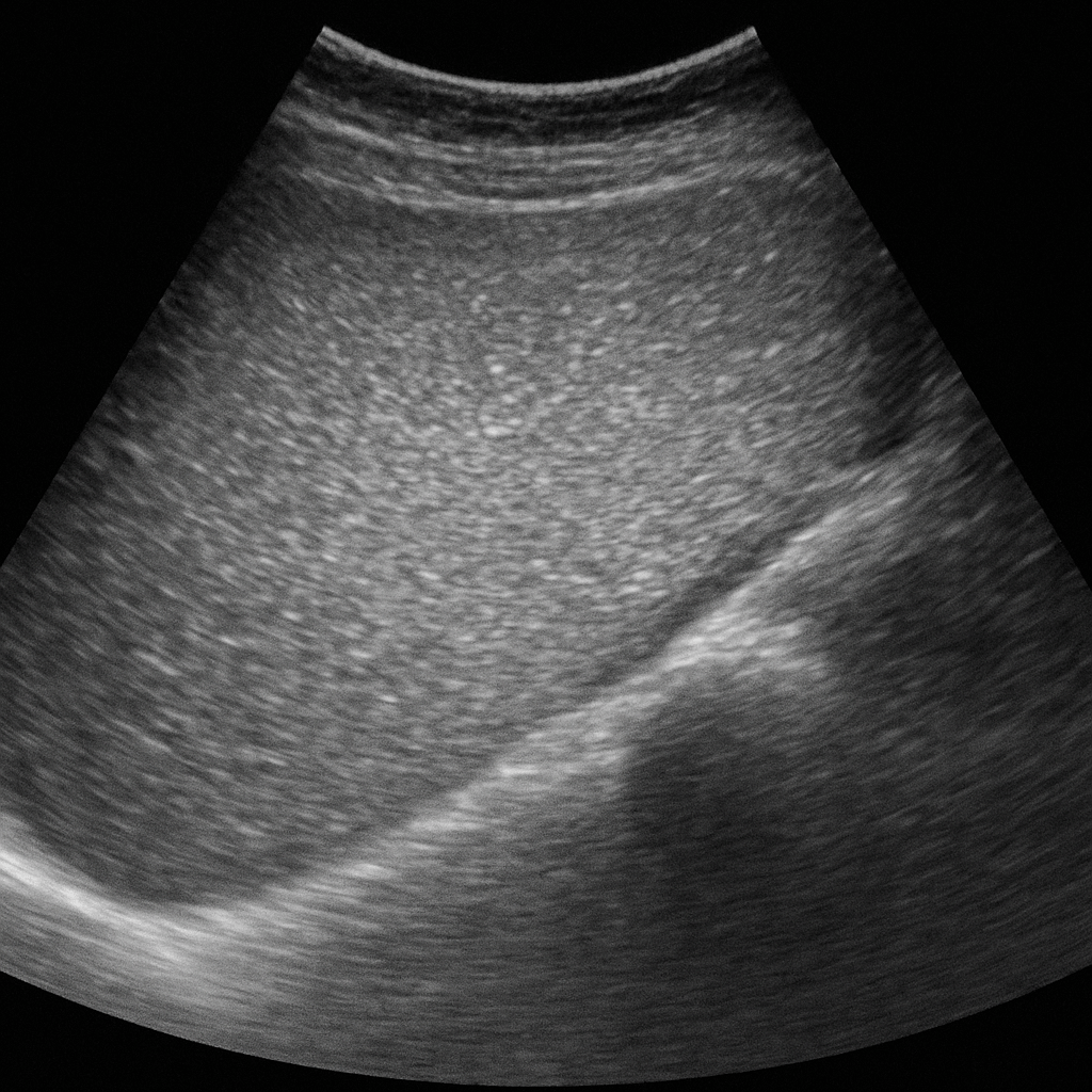
- 간초음파에서 ‘밝게 나오는’ 소견 (에코 증가)
정기적인 혈액검사와 간초음파는 지방간의 진행 여부를 판단하는 데 핵심적인 역할을 합니다.



예방법과 간에 좋은 생활습관
지방간은 생활습관만 잘 관리하면 되돌릴 수 있는 병입니다. 다음을 실천해보세요:
🍽 식단 관리
- 고단백 저탄수화물 식단: 닭가슴살, 생선, 두부
- 정제 탄수화물 줄이기: 흰쌀밥, 빵, 설탕 ↓
- 지방은 식물성 위주로: 올리브유, 아보카도
🏃♀️ 운동
- 주 3~4회, 30분 이상 유산소 운동
- 걷기, 자전거, 수영 등 체지방 감소 중심
💊 영양제 추천
- 밀크시슬(실리마린): 간 해독과 항염
- 비타민 E: 지방간염 완화에 도움
- 오메가3: 중성지방 개선
마무리: 지금이 바로 간을 살릴 기회
많은 분들이 “지방간은 괜찮다”며 방치하지만, 진짜 무서운 건 ‘지방간염’으로 진행되는 경우입니다.
한 번 손상된 간은 복구가 어렵기 때문에, 지금부터라도 식단과 운동, 건강검진을 통해 간을 지켜야 합니다.간경화 초기증상부터 4기 말기까지 증상, 생존율, 영양제까지 총정리
간경화는 간경화 초기증상, 간경화 말기 생존율, 간경화에 좋은 음식 같은 키워드로 검색량이 많은 주제입니다. 이번 글에서는 간경화의 원인, 증상, 진행 단계, 생존율, 복수 차는 증상까지 자
blog8.info-king80.com
'뷰티 & 라이프' 카테고리의 다른 글
간암 되기 전에 꼭 알아야 할 초기 증상 / 식단과 영양제 가이드 (0) 2025.05.11 간수치가 높을 때 절대 하면 안 되는 행동 5가지! (간수치 낮추는 법 총정리) (0) 2025.05.10 간경화 초기증상부터 4기 말기까지 증상, 생존율, 영양제까지 총정리 (0) 2025.05.08 간수치 낮추는 음식과 영양제, 효과 있는 꿀팁 공개 (0) 2025.05.06 중년 건강검진 필수 항목 | 중년 건강검진 체크리스트 (0) 2025.05.03